Monday, May 30, 2011

Pneumatosis Intestinalis in Bone Marrow Transplant Patients

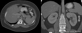
Pneumatosis intestinalis, gas within the bowel wall, can be seen in patients after bone marrow transplantation. Pneumatosis does not by itself indicate a poor prognosis or require surgery. In the setting of systemic infection or shock, however, pneumatosis is a poor prognostic sign.

The etiology is multifactorial and includes the following:
  • Steroid therapy: Steroids are thought to induce atrophy of Peyer patches, creating mucosal defects that allow dissection of gas into the submucosal or subserosal space.
  • Infection: Due to invasion of the bowel wall by gas-producing bacteria.
  • Acute graft-versus-host disease:
  • Pre-transplantation chemotherapy/radiation therapy: Toxic effect on gastrointestinal mucosa.
  • Septic shock:
  • Small bowel obstruction:
Thanks to Dr. Mark Bankoff for the case and discussion.

References

Day DL, Ramsay NK, Letourneau JG. Pneumatosis intestinalis after bone marrow transplantation. AJR Am J Roentgenol. 1988 Jul;151(1):85-7.

Sunday, May 29, 2011

Lymphangioleiomyoma

Lymphangioleiomyomas are proliferations of smooth muscle cells in lymphatic vessels, leading to obstruction and dilation that results in cystic collections of chyle. They can be seen in about 15% of patients with lymphangioleiomyomatosis (LAM).

These dilated retroperitoneal lymphatic vessels can present as thick- or thin-walled masses with or without central low attenuation (~5 HU to 25 HU). Rupture may result in chylous ascites (-10 HU to 20 HU).

Isolated retroperitonel involvement can cause a diagnostic dilemma. Differential considerations in these cases include:
  • Enlarged lymph nodes: Enlarged nodes may be seen in patients with LAM, and some of these lymph nodes have central areas of low attenuation (−70 HU to 50 HU).
  • Cystic lymphangioma:
  • Neoplasm: Lymphoma or metastases. Primary cystic retroperitoneal tumors (liposarcoma, leiomyosarcoma, and fibrosarcoma) with cystic degeneration will usually have solid components.
  • Fluid collections: Old hematoma, abscess, urinoma, and lymphoceles.
Thanks to Dr. Mark Bankoff for the case.

References

Avila NA, Kelly JA, Chu SC, Dwyer AJ, Moss J. Lymphangioleiomyomatosis: abdominopelvic CT and US findings. Radiology. 2000 Jul;216(1):147-53.

Saturday, May 28, 2011

Splenic Uptake on Bone Scan

Splenic uptake on bone scan is thought to be related to microscopic or macroscopic calcium deposition or due to high concentrations of phosphatase enzyme systems. Splenic uptake on bone scan can be seen with:
  • Blood dyscrasias: Sickle cell disease is the most common etiology for splenic uptake on bone scan. A shrunken spleen is typical in adults, but the spleen may be normal in size in children.
  • Subcapsular hematoma:
  • Hemochromatosis:
  • Glucose-6-phosphate dehydrogenase deficiency:
  • Metastatic disease:
  • Splenic hemangioma:
  • Splenic artery calcification:

References

Yapar AF, Aydin M, Reyhan M. Diffuse splenic Tc-99m MDP uptake in hypersplenic patient. Ann Nucl Med. 2004 Dec;18(8):703-5.

Friday, May 27, 2011

Adrenal Calcifications

Adrenal calcifications can be seen with:
  • Prior hemorrhage: Due to trauma (most common cause), anticoagulation, sepsis, blood dyscrasias or surgery. Calcification may be peripheral to a soft tissue mass of old blood or may diffusely involve a shrunken adrenal gland. Hemorrhagic degeneration of adenomas is uncommon. Hemorrhage in an adrenal hemangioma (see below) can cause irregular or nodular calcifications.
  • Infection: Prior tuberculosis or other granulomatous infection. Chronic adrenal abscess can peripherally calcify.
  • Myelolipoma: Benign neoplasm with hematopoetic tissue and macroscopic fat with or without calcification.
  • Neuroblastoma: Can be heterogeneous due to necrosis and hemorrhage. Calcifications can be seen in up to 85%.
  • Metastases: For example, from mucinous adenocarcinoma, osteosarcoma, or papillary thyroid carcinoma.
  • Pheochromocytoma: Large lesions can have hemorrhage, necrosis, and uncommonly (10% of cases) calcifications.
  • Adrenal hemangioma: Rare and usually asymptomatic. May contain phleboliths. Irregular or nodular calcification can be seen due to prior hemorrhage.
  • Adrenal cortical carcinoma: Rare neoplasm with varying degrees of hemorrhage, necrosis, and calcification. Calcification can be coarse or in the form of microcalcification, and is seen on CT in ~30% of cases. The calcification is usually centrally located.
  • Mature teratoma: Rare in the adrenal gland. Look for fluid, macroscopic fat, and calcification. Fat-fluid level is a characteristic, but may be difficult to differentiate from a myelolipoma.
  • Adrenal Cyst: Well-defined, non-enhancing water-attenuation mass with or without eggshell calcification.
  • Wolman disease: Rare autosomal recessive disease that is usually fatal by 6 months of age. Look for hepatosplenomegaly and enlarged adrenal glands due to infiltration by foam cells containing cholesterol and triglycerides.

References

Thursday, May 26, 2011

Echinococcal Cyst of the Liver

The liver is the most common location (95% of cases) for infection by Echinococcosis multilocularis, a tapeworm that is endemic in central and northern Europe, northern Asia, Japan, China, Turkey, and parts of North America. Dogs are the definitive hosts and humans, sheep, goats, and other herbivores serve as intermediate hosts. Humans are aberrant intermediate hosts who can develop slowly progressive and life-threatening tumorlike growths in the liver.

Ultrasound reveals an amorphous, heterogeneous, hyperechoic mass sometimes associated with central hypoechoic areas and irregular calcifications. Vascular or biliary invasion may also be seen.

CT has a high sensitivity and is used to determine vascular, biliary, or extrahepatic extension, all of which have implications for resectability. CT findings include an infiltrating mass with irregular margins and calcified or cystic components. Parts of the mass may enhance.

In uncertain cases, MR imaging may be performed to confirm the hypothesis and visualize the lesion in different planes. It is the best imaging procedure to demonstrate a cystic component. It helps establish vascular or biliary tree involvement as well as extrahepatic extension. Usually described as an ill-defined partially solid and partially cystic lesion, the appearance of alveolar echinococcosis at MR imaging was recently categorized into five types by Kodama et al (8). Multiple small cysts without a solid component are type 1 (4%), a solid component associated with small cysts is type 2 (40%), a solid component associated with irregular large cysts is type 3 (46%), a solid component with no cysts is type 4 (4%), and a large cyst without a solid component is type 5 (6%). According to this classification, our case would correspond to type 1. Alveolar echinococcosis is reported to exhibit variable signal intensities on T1- and T2-weighted images and to demonstrate slight enhancement on gadolinium-enhanced images (8,9). The cystic, necrotic, and fibrotic component appears hypointense compared with the liver parenchyma on T1-weighted images. T2-weighted images are useful to detect small cysts and, as in our case, to localize extrahepatic cysts (8,9).

References

  • Hosch W, Stojkovic M, Jänisch T, Kauffmann GW, Junghanss T. The role of calcification for staging cystic echinococcosis (CE). Eur Radiol. 2007 Oct;17(10):2538-45.
  • Proietti S, Abdelmoumene A, Genevay M, Denys A. Echinococcal cyst. Radiographics. 2004 May-Jun;24(3):861-5.

Wednesday, May 25, 2011

Medial Accessory Anomalous Origin of the Lateral Head of the Gastrocnemius Muscle

The lateral head of the gastrocnemius muscle may have an accessory medial origin from the posterior and mid to medial aspect of the lateral femoral condyle, lateral to the popliteal vessels. This accessory bundle merges with the body of the lateral head of the gastrocnemius muscle distally and is seen in about 2% of the population.

As with any muscular variation in the popliteal fossa, we're concerned about mass effect on the popliteal vessels and popliteal artery entrapment syndrome, and the position of the popliteal vessels between the accessory bundle and the medial head of the gastrocnemius muscle makes patients susceptible to this condition.

The image above shows the medial accessory anomalous origin of the lateral head of the gastrocnemius muscle (white arrows) in a young man. The axial image shows an accessory muscle bundle originating from the posterior and mid to medial aspect of the femoral condyle. The bundle is lateral to the popliteal vessels (pink arrow). The coronal image shows the bundle merging with the body of the lateral head of the gastrocnemius muscle (LG). The popliteal vessels are located between the bundle and the medial head of gastrocnemius muscle (MG) without displacement or narrowing of the popliteal vessels. The sagittal image shows the origin of the accessory bundle in the mid aspect of the posterior femur (at the same level as the anterior cruciate ligament).

References

Kim HK, Laor T, Racadio JM. MR imaging assessment of the lateral head of the gastrocnemius muscle: prevalence of segmental anomalous origins in children and young adults. Pediatr Radiol. 2008 Dec;38(12):1300-5. Epub 2008 Oct 7.

Tuesday, May 24, 2011

Neuropathic (Charcot) Arthropathy

Neuropathic (Charcot) Arthropathy is an aggressive, deforming arthritis that results from a combination of repetitive trauma, peripheral neuropathy with impaired perception of injury, and ischemia with poor healing.

The classic radiographic findings of neuropathic arthropathy include a mixed pattern of proliferation and erosion that can be forced to start with the letter D. Starting from the joint and working our way into the bone, these are:
  • Dislocation
  • Debris in the joint space
  • Destruction of articular surfaces
  • Dense subchondral bone
  • Deformity of the bones
Causes of neuropathic arthropathy include:
  • Diabetes mellitus: Most common cause. Commonly affects the forefoot, midfoot and ankle. The image above shows a patient with diabetes mellitus. Typical findings include, calcaneal fragmentation with fracture planes extending into the subtalar joints, talar disruption, and dorsolateral displacement of the metatarsal bones. The metatarsal heads may be flattened or fragmented as seen aboveo (particularly at the 2nd metatarsal). There may also be osseous resorption of the metatarsal heads. The metatarsals and proximal phalanges may be tapered with "pencil-pointing" of the phalangeal and metatarsal shafts and widening of the bases of the proximal phalanges to form a cup ("intrusion," "mortar and pestle," "bulbous," "pencil and cup," or "balancing pagoda.")
  • Alcoholism: Neuropathic arthropathy is infrequent, despite the presence of peripheral neuropathy in close to 30% of alcoholics. Findings and pattern of involvement is similar to those of diabetic patients.
  • Syringomyelia: Neuropathic arthropathy occurs in about 25% of patients. The upper extremity is affected in 80%, with the shoulder being the most common site. Pseudosurgical appearance of the humeral head is characteristic. The spine is also commonly affected, with early findings similar to those seen in spondylosis.
  • Tabes dorsalis: Charcot's original description of neuropathic arthropathy was mainly in patients with tabes dorsalis. Predilection is for the spine (especially lumbar) and lower limbs.
  • Amyloidosis: Neuropathy may be seen in certain forms of amyloidosis, but neuropathic arthropathy is not common in these patients. The knee and ankle are most commonly affected in such patients.
  • Myelomeningocoele: Ankle and intertarsal joints more commonly affected.
A diagnostic dilemma is differentiating simple neuropathic osteoarthropathy from superimposed osteomyelitis. MRI findings that help in this regard are sinus tract formation, replacement of soft tissue fat, fluid collections and extensive marrow abnormality support superimposed infection. If a prior MRI us available, progression of bone erosions, loss of subchondral cysts, increased marrow hyperintensity and enhancement of the articular surface support superimposed infection.

References

  • Atalar AC, Sungur M, Demirhan M, Ozger H. Neuropathic arthropathy of the shoulder associated with syringomyelia: a report of six cases. Acta Orthop Traumatol Turc. 2010;44(4):328-36..
  • Resnick D. Chapter 72: Neuropathic osteoarthropathy. in Diagnosis of Bone and Joint Disorders (4th ed). Saunders (2002): pp 3564-3595.
  • Tan PL, Teh J. MRI of the diabetic foot: differentiation of infection from neuropathic change. Br J Radiol. 2007 Nov;80(959):939-48.

Monday, May 23, 2011

Hepatic Arterioportal Shunts

Differential considerations for a hepatic arterioportal shunt include:
  • Tumor: Classically in hepatocellular carcinoma. Seen in ~60% of patients with hepatocellular carcinoma.
  • Transhepatic needling:
  • Chemoembolization:
  • surgery:
  • Cirrhosis:
  • Congenital vascular malformations: May be seen with Osler-Weber-Rendu disease.
  • Idiopathic: Typically subcapsular or peripheral. Focal increased-attenuation wedge-shaped defects with early portal venous filling on dynamic CT.

References

Sunday, May 22, 2011

Renal Artery Aneurysm

Causes of renal artery aneurysm:
  • Atherosclerosis:
  • Traumatic dissection:
  • Fibromuscular dysplasia:
  • Connective tissue disease: Ehlers-Danlos, Marfan
  • Segmental arterial mediolysis: Rare acute, self-limiting, and noninflammatory vascular disease of the abdominal splanchnic arteries.
  • Inflammatory vasculitis:

Saturday, May 21, 2011

Mixed Germ Cell Tumor of the Testis

Mixed germ cell tumors are malignant neoplasms that make up 30% of all testicular germ cell tumors and 70% of all nonseminomatous germ cell tumors. As their name implies, they have more than one germ cell component (excluding seminoma with syncytiotrophoblastic cells), with embryonal carcinoma being the most common component, often combined with teratoma, seminoma, or yolk sac tumor.

The tumors contain areas of calcification, necrosis, hemorrhage, and cystic degeneration, findings that are reflected on imaging. The case above shows a heterogeneous testicular mass with solid and cystic components and fluid-fluid levels.

Patients may present with testicular enlargement with or without pain. Prognosis depends on the element with the worst prognosis.

References

Friday, May 20, 2011

Head Cheese Sign

The head cheese sign refers to the combination of ground-glass opacity with mosaic attenuation and resembles the disgusting end result of combining various parts of an animal's head and face into a cold-cut.

The ground-glass opacity is caused by an infiltrative process, while the mosaic attenuation is caused by small airways obstruction (usually associated with bronchiolitis).

It is distinguished from mosaic perfusion alone by the presence of areas of increased attenuation and is distinguished from patchy ground-glass opacity or consolidation by the presence of air trapping (seen best on expiratory images).

It can be seen with:
  • Hypersensitivity pneumonitis
  • Desquamative interstitial pneumonia
  • Respiratory bronchiolitis–interstitial lung disease
  • Sarcoidosis
  • Atypical infections with bronchiolitis (e.g., M. pneumoniae)

References

Webb WR. Thin-section CT of the secondary pulmonary lobule: anatomy and the image--the 2004 Fleischner lecture. Radiology. 2006 May;239(2):322-38.

Thursday, May 19, 2011

Henoch-Schonlein Purpura

Henoch-Schonlein purpura is a small-vessel vasculitis that usually occurs in children and affects multiple organs, including the skin rash that gives the disease its name. Up to 80% of patients develop joint involvement, and a similar percentage have gastrointestinal tract involvement. Renal involvement can be seen in 20%–100% of patients. Diagnostic criteria are clinical and pathological.

Gastrointestinal disease can precede the skin rash, with colicky pain, diarrhea, nausea, or vomiting. Any portion of the bowel distal to the esophagus can be involved, with ulceration and bowel wall thickening due to edema and intramural hemorrhage.

The role of the radiologist is in recognizing Henoch-Schonlein purpura in order to avoid unnecessary surgery, because the gastrointestinal involvement is self limited and treatment is essentially medical (corticosteroids or intravenous immunoglobulin therapy). Having said that uncommon complications of Henoch-Schonlein purpura include, obstruction, ischemia, infarction, irreducible intussusception, and perforation.

Abdominal CT may show duodenal and jejunal wall thickening (homogeneous and circumferential), luminal narrowing, fold thickening, and ulceration. Multifocal bowel involvement with skip lesions has also been reported. Intestinal dilatation, enlarged mesenteric nodes (<1.5 cm), engorged mesenteric vessels, increased attenuation of the mesenteric fat, and ascites have also been reported. It must be noted that these findings are based on series with small numbers of patients.

The case above is from a young man with known Henoch-Schonlein purpura. We see duodenal and proximal jejunal wall thickening, which is homogeneous and circumferential, associated with luminal narrowing and fold thickening. A small amount of fluid is seen in the pelvis. The appearance is nonspecific and in the absence of the clinical history could have represented ischemia, small bowel hemorrhage, infection, or Crohn disease. Another vasculitis that is known to cause a skin rash and small-bowel ischemia is systemic lupus erythematosus, and may be considered in the appropriate clinical setting.

Case courtesy of Dr. Sibin Thachet.

References

Johnson PT, Horton KM, Fishman EK. Case 127: Henoch-Schonlein purpura. Radiology. 2007 Dec;245(3):909-13.

Wednesday, May 18, 2011

The Pulvinar Sign

The Pulvinar sign can refer to: T2 hyperintensity in the posterior thalamic nuclei (the pulvinar). It is most sensitive for variant Creutzfeldt-Jakob disease. A positive pulvinar sign can be called when the pulvinar are hyperintense to the anterior putamina.

Differential considerations include bilateral thalamic infarctions, perinatal ischemic injury, deposition of iron or copper, and neoplasm (e.g., lymphoma, glioma).

T1 hyperintensity exclusively in the putamina has been described in patients with Fabry disease. It can also be seen in patients with metabolic disorders (eg, Krabbe or Tay-Sachs disease), central nervous system infections, or after chemoradiation.

Images of the pulvinar sign can be found at AJNR and AJR.

References

Tuesday, May 17, 2011

Acute Scrotal Edema

Differential considerations for acute scrotal edema include:
  • Infection: Epididymitis is more common. Fournier gangrene is the most concerning.
  • Torsion: Testicular torsion (more common in adolescents) or torsion of the testicular appendages (higher incidence in prepubertal patients).
  • Hemorrhage: Trauma, tumor
  • Acute idiopathic scrotal edema: Self-limiting acute scrotal edema and erythema that resolves without sequelae in 1 to 3 days. More often bilateral. Wall thickening and hypervascularity of the scrotal wall on transverse scans resembles a fountain (see transverse color image of both testes above).
  • Systemic disease: Dependent position of scrotum favors collection of fluid.

References

  • Geiger J, Epelman M, Darge K. The fountain sign: a novel color Doppler sonographic finding for the diagnosis of acute idiopathic scrotal edema. J Ultrasound Med. 2010 Aug;29(8):1233-7.
  • Lee A, Park SJ, Lee HK, Hong HS, Lee BH, Kim DH. Acute idiopathic scrotal edema: ultrasonographic findings at an emergency unit. Eur Radiol. 2009 Aug;19(8):2075-80.

Monday, May 16, 2011

Unilateral Decreased Lung Perfusion

Unilaterally decreased lung perfusion can be seen in about 3% of patients referred for ventilation/perfusion scans.

Differential considerations for matched (absent or decreased ventilation) unilateral decreased perfusion to the lung:
  • Pneumothorax:
  • Pnuemonectomy:
  • Massive pleural effusion:
  • Endobronchial obstruction: For example mucous plug, foreign body, and broncholithiasis. Hypoperfusion is due to hypoxic vasoconstriction.
  • Sweyer-James syndrome: Delayed wash-in with air trapping.
Differential considerations for mismatched (preserved ventilation) unilateral decreased perfusion to the lung:
  • Centrally obstructing mass: Compressing the main pulmonary artery. Most common cause
  • Radiation: Due to vascular and parenchymal damage. The case shown above is from a patient with prior radiation therapy. Ventilation is relatively preserved compared to perfusion.
  • Pulmonary agenesis or stenosis:
  • Pulmonary atresia (hypoplastic lung): Preserved ventilation to a small lung.
  • Aortic dissection: Rare cause. Due to direct compression of the right pulmonary artery by intramural ascending aortic hemorrhage.
  • Mediastinal fibrosis: Most commonly due to histoplasmosis. Can encase and obstruct the central pulmonary vessels
  • Pulmonary embolism: About 2% of cases of unilateral decreased perfusion.

References

Sunday, May 15, 2011

Flowing Ossifications, Syndesmophytes, and Parasyndesmophytes

  • Flowing ossifications: Seen in diffuse idiopathic skeletal hyperostosis (DISH). The ossifications involve the anterior longitudinal ligament, paraspinal connective tissues, and annulus fibrosus of at least four contiguous vertebral bodies. Lateral radiographs of the spine may show radiolucencies between the anterior aspect of the vertebral bodies and the flowing ossifications of the anterior longitudinal ligament. The radiolucencies end at the level of the vertebral endplates.
  • Syndesmophytes: Seen in ankylosing spondylitis. Vertically orientated outgrowths of trabecular bone forming in the outer margins of the annulus fibrosus. Related to repeated episodes of inflammation and repair. Arise at the discovertebral junction (in contrast to claw osteophytes, which arise several millimeters from the discovertebral junction).
  • Parasyndesmophytes: Paravertebral ossifications seen in psoriatic arthritis and reactive arthritis. Begin at a distance from the vertebral body and intervertebral disc. Initially thick and fluffy or thin and curvilinear densities on one side of the spine that parallel the lateral surface of the vertebral body and intervertebral disc. Eventually become large and bulky and merge with the underlying bone and disc. Unilateral or asymmetric in distribution. Unlike syndesmophytes, they arise farther away from the vertebral column.

References

  • Dihlmann W. Current radiodiagnostic concept of ankylosing spondylitis. Skeletal Radiol. 1979;4(4):179-88.
  • Jones MD, Pais MJ, Omiya B. Bony overgrowths and abnormal calcifications about the spine. Radiol Clin North Am. 1988 Nov;26(6):1213-34.
  • Taljanovic MS, Hunter TB, Wisneski RJ, Seeger JF, Friend CJ, Schwartz SA, Rogers LF. Imaging characteristics of diffuse idiopathic skeletal hyperostosis with an emphasis on acute spinal fractures: review. AJR Am J Roentgenol. 2009 Sep;193(3 Suppl):S10-9.

Saturday, May 14, 2011

Mosaic Attenuation

The mosaic pattern of lung attenuation refers to a patchwork of regions of differing attenuation. The term is descriptive and nonspecific. It can be seen with:
  • Small-airways disease (shown above): Air trapping and bronchial dilatation commonly seen. Areas of increased attenuation have relatively large vessels, while areas of decreased attenuation have small vessels. Causes include:
    • Bronchiolitis obliterans: Idiopathic or due to collagen vascular disease (e.g., rheumatoid arthritis), toxic gas inhalation, pneumonia (viral or bacterial), graft versus host disease, and drugs.
    • Asthma
  • Occlusive vascular disease: Also known as mosaic oligemia and mosaic perfusion. Presence of air trapping and bronchial dilatation make it hard to differentiate this entity from small airways disease. Areas of increased attenuation have relatively large vessels, while areas of decreased attenuation have small vessels. Causes include:
    • Chronic pulmonary thromboembolism
    • Pulmonary venooclusive disease
    • Pulmonary arterial hypertension
    • Polyarteritis nodosa
  • Patchy interstitial disease: The areas of increased attenuation are abnormal. The size of vessels within these areas of ground-glass attenuation is usually similar to that of uninvolved lung, allowing differentiation from occlusive vascular disease and small-airways disease. May have air trapping, especially in patients with hypersensitivity pneumonitis. Causes include:
    • Hypersensitivity pneumonitis
    • Desquamative interstitial pneumonitis
    • Alveolar proteinosis
    • Cryptogenic organizing pneumonia
    • Bronchoalveolar carcinoma
    • Nonspecific interstitial pneumonitis
    • Lymphangitic carcinomatosis
    • Sarcoidosis
    • Pulmonary edema
    • Acute interstitial pneumonitis

References

Friday, May 13, 2011

Cold Defect on Bone Scan

  • Radiation: Tends to occur at least 2 months following a dose of at least 20 Gy.
  • Early infarction: For example, following trauma or in patients with sickle cell disease.
  • Neoplasm: For example, multiple myeloma/plasmocytoma, renal and thyroid cancer metastases, chordoma.
  • Osteomyelitis: Especially in children. Edema and increased local pressure (due to subperiosteal or intraosseus pus) may decrease the blood flow and tracer uptake early in the course of infection.
  • Hemangioma: Most commonly isointense to surrounding bone, but can be photopenic or hyperintense.
  • Artifact: Barium in gastrointestinal tract, hardware, metallic objects (belt buckle, jewelery, etc.).
Stupid Mnemonic: Think of A Rhino punching a cold defect into a bone: Artifact, Radiation, Hemangioma, Infarction (early), Neoplasm, Osteomyelitis.

References

  • Greyson ND, Kassel EE. Serial bone-scan changes in recurrent bone infarction. J Nucl Med. 1976 Mar;17(3):184-6.
  • Rehm PK, Delahay J.Epiphyseal photopenia associated with metaphyseal osteomyelitis and subperiosteal abscess. J Nucl Med. 1998 Jun;39(6):1084-6.
  • Sopov V, Liberson A, Gorenberg M, Groshar D. Cold vertebrae on bone scintigraphy. Semin Nucl Med. 2001 Jan;31(1):82-3.

Thursday, May 12, 2011

Osteogenesis Imperfecta

Osteogenesis imperfecta is an inherited disorder of connective tissue that is usually autosomal dominant (~85% of the time). Diagnosis is made with the presence if two or more of the following: osteoporosis, blue sclerae, dentinogenesis imperfecta, and premature otosclerosis. Patients also have ligamentous laxity, easy bruising, constipation, hyperplastic scars, premature vascular calcifications, and abnormal temperature regulation.

At least 7 types of osteogenesis imperfecta have been defined based on a clinical, radiographic, and genetic factors.

Radiographs reveal osteoporosis with multiple macro and micro fractures, the latter resulting in bowing deformities. The epiphyses are enlarged and may contain "popcorn" calcifications at the metaphyses (pieces of calcified cartilage representing physeal fragments). There is coxa vara and protrusio acetabulae. Chest radiographs reveal kyphoscoliosis and increased anteroposterior chest diameter.

References

Wednesday, May 11, 2011

Hajdu-Cheney Syndrome

Hajdu-Cheney syndrome, a multicentric idiopathic osteolysis, belongs to the group of osteochondrodysplasias. Although best known to radiology residents as a cause of band-like acroosteolysis, patients with Hajdu-Cheney syndrome can have multiple skeletal and extraskeletal abnormalities on imaging:
  • Mineralization: Generalized osteopenia, especially in the vertebrae, leading to short stature. Fractures can also be seen (e.g., note the fracture of the small finger metacarpal head).
  • Joints: Hypermobile joints, dislocation and hypoplasia of the radial head.
  • Skull: Dolichocephaly, bathrocephaly (protuberance of the squamosal part of the occipital bone), thickened cranial vault, persistent/open sutures, wormian bones, enlarged/J-shaped sella, platybasia, and basilar invagination.
  • Paranasal sinuses: Absent or hypoplastic frontal sinuses
  • Facial bones: Micrognathia, obtuse mandibular angle, high arched and narrow palate, cleft lip/palate and uvula.
  • Teeth: Delayed development, malalignment, and premature loss of teeth, resorption of alveolar bone.
  • Spine: Tall vertebral bodies, narrowing of disk spaces, biconcave compression deformities due to osteopenia, spondylolisthesis, scoliosis, kyphosis.
  • Pelvis: Coxa valga, subluxation/dislocation of the femoral heads
  • Long bones: Fractures, elongated gracile and wavy (serpentine) fibulae, mesomelic shortening of the arms
  • Knees: Genu valgum
  • Hands and feet: Clubby and stubby fingers and toes, short and curved nails, and band-like acroosteolysis that may spare some phalanges, club foot deformity.
  • Central nervous system: Hydrocephalus, syringohydromyelia.
  • Cardiac: Ventricular and atrial septal defects, mitral regurgitation, patent ductus arteriosus, and calcified ductus aneurysm.
  • Genitourinary: Polycystic kidneys, chronic renal failure, renal hypoplasia, vesicoureteral reflux, cryptorchidism, Müllerian duct duplications.
  • Gastrointestinal: Umbilical and inguinal hernias, malrotation.
  • Pulmonary: Recurrent upper respiratory tract infections.
Special thanks to Drs. Orr Barak and Elizabeth Barak for the case.

References

  • Currarino G. Hajdu-Cheney syndrome associated with serpentine fibulae and polycystic kidney disease. Pediatr Radiol. 2009 Jan,39(1):47-52.
  • Diren HB, Kovanlikaya I, Süller A, Dicle O. The Hajdu-Cheney syndrome: a case report and review of the literature. Pediatr Radiol. 1990,20(7):568-9.

Tuesday, May 10, 2011

Retained Products of Conception

About 1% of pregnancies are complicated by retained products of conception, more commonly after termination of pregnancy. Patients present with vaginal bleeding and abdominal or pelvic pain.

Ultrasound is the first-line imaging study for evaluation of retained products of conception. The classic appearance is heterogeneously echogenic material in the endometrial cavity that demonstrates blood flow. Increased blood flow can be seen in regions of retained tissue and in diffuse areas of the myometrium.

It must be noted that the absence of blood flow does not exclude the presence of retained products of conception. Our case, for example, did not present with a clear endometrial mass (just some endometrial thickening), and no definite flow could be identified within the endometrial cavity. A region of increased flow could be seen in the anterior wall of the uterus, with a mosaic pattern that was mistaken for the tissue vibration and turbulence of an arteriovenous fistula.

The retained products may demonstrate shadowing from calcium. There is typically an irregular interface between the endometrium and myometrium.

The endometrial cavity can appear normal on ultrasound or there may be endometrial fluid without a mass. In such cases, sonohysterography or MRI can be used to clarify the diagnosis.

MRI may demonstrate "an intracavitary uterine soft-tissue mass with variable T1 and T2 signal intensities, variable amounts of enhancing tissue, and variable degrees of myometrial thinning and obliteration of the junctional zone." These findings are seen in the MR images above.

Differential considerations:
  • Gestational trophoblastic disease: MR and clinical features may overlap with those of retained products of conception, and a definitive diagnosis may not be possible. Patients with gestational trophoblastic disease characteristically have elevated beta-HCG levels, while patients with retained products of conception have dropping levels.
  • Arteriovenous fistula/malformation: Blood flow patterns in retained products of conception may simulate an arteriovenous fistula, as in our case.
  • Endometritis: Heterogeneous infected material in the endometrial cavity may simulate retained products of conception. Endometritis may also coexist with retained products of conception.
  • Missed abortion: Look for a gestational sac with remaining fetal tissue and no cardiac activity (after the embryonic pole > 5 mm).

References

Monday, May 9, 2011

Spinal Epidural Fluid Collection

Differential considerations for an epidural fluid collection in the spine:
  • Arachnoid cyst (shown above): Nonenhancing loculated collection that follows cerebrospinal fluid signal. Can be intradural or extradural.
  • Facet synovial cyst: Associated with facet arthropathy and located along the posterolateral aspect of spinal canal adjacent to the facet joint.
  • Pseudomeningocele: Look for evidence of prior trauma (e.g., surgery).
  • Abscess:
  • Epidural hematoma: Look for blooming on T2* images.
  • Idiopathic spinal cord herniation: Herniation of the cord through a ventral dural defect. Ventral deviation of the cord can mimic a posterior epidural collection. May be associated with an arachnoid cyst due to adhesions.

Sunday, May 8, 2011

Tubal Ectopic Pregnancy

The fallopian tube is the most common site (95%) for ectopic pregnancy. The majority (70%) of tubal pregnancies occur mostly in the ampulla, followed by the isthmus and fimbria. The most common ultrasound finding in a tubal ectopic pregnancy is an adnexal mass separate from the ovary, seen in about 90% of cases. This is confirmed by demonstrating that the mass moves separately from the ovary on manipulation of the probe.

The diagnosis is more specific when a yolk sac (as in our case) or living embryo is detected. When neither of these is seen, demonstration of the tubal ring sign is helpful. The tubal ring sign refers to a hyperechoic ring surrounding an extrauterine gestational sac, and is often seen in association peripheral hypervascularity of the hyperechoic ring (the "ring of fire" sign). The ring of fire sign is helpful when a definite ectopic pregnancy cannot be identified, and color Doppler images demonstrate an adnexal ring of fire sign.

The dreaded complication of a tubal ectopic pregnancy is rupture. Clinical signs and symptoms may be unimpressive, and pain may even decrease or disappear following tubal rupture.

Ultrasound findings are likewise nonspecific, and no finding at transvaginal ultrasound has been shown to be a reliable indicator of rupture. The presence of echogenic fluid within the Morrison pouch and the cul-de-sac should, however, raise concern for rupture.

Ectopic pregnancies may be managed expectantly, medically, or surgically.

Expectant management is based on the observation that some tubal ectopic pregnancies resolve spontaneously. Asymptomatic patients with an ectopic pregnancy with falling beta-hCG levels initially < 1,000 mIU/l can be expectantly managed. Patients are followed up with twice weekly beta-hCG and weekly transvaginal scans. At the 7-day follow-up ultrasound, the size of the adnexal mass should decrease and beta-hCG should fall by at least 50%. The beta-hCG is followed until it drops to < 20 mIU/l.

Methoterxate may be considered in patients with low initial beta-hCG and progesterone levels and the absence of ectopic cardiac activity. The size of the ectopic is also considered, with treatment recommended with a sac size < 3.5 cm if cardiac activity is present or sac size < 4.0 cm if cardiac activity is absent. It must be noted, however, that the size of the ectopic pregnancy, volume of hematoma, and the presence of free pelvic blood do not seem to influence the success or failure of methoterxate therapy.

Surgical management may include salpingostomy or salpingectomy. Salpingostomy involves making a linear incision in the fallopian and flushing out the ectopic pregnancy. Salpingostomy is considered when the contralateral fallopian tube is abnormal and we wish to preserve at least one side. The main complication is the risk of retention of trophoblastic tissue, which is higher with laparoscopy than laparotomy, and which can be minimized with prophylactic methotrexate.

Indications for salpingectomy include: a normal contralateral fallopian tube, patient at higher risk of complications with salpingostomy, severely damaged ipsilateral fallopian tube (making attempts at preservation with salpingostomy irrelevant), recurrent ectopic pregnancy on the same side, uncontrolled bleeding after salpingostomy, tubal pregnancy > 5 cm, a heterotopic pregnancy, and in patients who do not desire continued fertility.

References

  • Frates MC, Brown DL, Doubilet PM, Hornstein MD. Tubal rupture in patients with ectopic pregnancy: diagnosis with transvaginal US.Radiology. 1994 Jun;191(3):769-72.
  • Lin EP, Bhatt S, Dogra VS. Diagnostic clues to ectopic pregnancy. Radiographics. 2008 Oct;28(6):1661-71.
  • Nama V, Manyonda I. Tubal ectopic pregnancy: diagnosis and management. Arch Gynecol Obstet. 2009 Apr;279(4):443-53. Epub 2008 Jul 30.

Saturday, May 7, 2011

Doses to Remember

  • Radiation workers' annual whole-body radiation dose limit: 5 rem
  • Fetus' total whole-body radiation dose limit: 0.5 rem
  • General public's annual whole-body radiation dose limit: 0.1 rem

  • Patients treated with 131I must remain confined until the dose to a member of the public does not exceed 0.5 rem.

  • Bone scan: Interrupt nursing for 3 hours
  • Cardiac (Mibi): Interrupt nursing for 3 hours
  • V/Q scan: Interrupt nursing for 12 hours
  • Cardiac (201Tl): Interrupt nursing for 2-4 days
  • 131I > 0.4 µCi: Cease nursing

  • Medical event: Administered activity > 20 % of prescribed dose AND [effective dose equivalent > 5 rem OR organ dose > 50 rem].

  • Major spill if > 100 mCi: 99mTc and 201Tl
  • Major spill if > 10 mCi: 67Ga and 111In
  • Major spill if > 1 mCi: 131I

  • Maximum Mo contamination: < 0.15 µ Ci 99Mo per mCi 99mTc

  • Furosemide: 1 mg/kg, up to 40 mg
  • Morphine: 0.04 mg/kg
  • CCK: 0.02 µg/kg
NRC Package Labeling
Label
Surface Radiation (mrem/hr)
 
Radiation at 1 Meter (mrem/hr)
Example
White I
< 0.5
 
N/A
99mTc
Yellow II
< 50
AND
< 1
131I
Yellow III
> 50
OR
> 1
99Mo generators
Source: USNRC labeling

Friday, May 6, 2011

Chronic Granulomatous Disease

Chronic granulomatous disease is a rare congenital immunodeficiency caused by a genetic defect that prevents phagocytic cells from killing catalase positive organisms such as Staphylococcus aureus, Burkholderia cepacia, and Aspergillus. These organisms are phagocytized, but not killed, leading to a chronic inflammatory response and granuloma formation.

Most patients present in their first few years of life with nonspecific findings. Imaging studies may reveal the pattern of infection, inflammation, and granuloma formation.

Chronic granulomatous disease is characterized by recurrent bacterial and fungal infections with granuloma formation. While the lungs are most commonly, involved, lymphatic, hepatic, skeletal, gastrointestinal, genitourinary, head and neck, and the central nervous system can also be affected.

In the lungs, pneumonia is the most common presentation, with Aspergillus being the most common organism isolated (40%), followed by Staphylococcus (10%), Burkholderia cepacia (5%), and Nocardia (5%). Imaging findings are as would be expected for the various bacterial and fungal infections. Complications of recurrent infections include pulmonary fibrosis with honeycombing, pulmonary artery hypertension, and pleural thickening.

Lymphadenopathy and suppurative adenitis are common. Mediastinal or hilar adenopathy are the most common findings, followed by cervical adenopathy (as seen in the image above). suppurative adenitis presents as enlarged, enhancing lymph nodes with a central area of low attenuation. Thick, enhancing septations may be present. Granuloma formation can also occur in lymph nodes. Granuloma formation in nodes or sequelae of suppurative infection may lead to calcified lymph nodes (as seen in hilar nodes above).

Multiple other organs can be involved:
  • Ear, nose, and throat: Sinusitis seen in 15%, with fungal infections more common than in the general population.
  • Brain: Encephalitis, brain abscesses, meningitis (Candida most common), and granulomatosis uncommon.
  • Bone: Most commonly Serratia marcescens followed by Aspergillus
  • Upper gastrointestinal tract: Dysmotility and strictures.
  • Lower gastrointestinal tract: Can mimic Crohn disease with skip lesions, wall thickening, luminal narrowing, fistulation, and a cobblestone mucosal pattern
  • Liver: Abscesses and granulomas. Hepatosplenomegaly can also be seen.
  • Spleen: Abscesses and granulomas. Hepatosplenomegaly can also be seen.
  • Lower genitourinary tract: Inflammatory pseudotumors of the bladder.
  • Kidneys: Pyelonephritis and renal abscesses uncommon.

References

Towbin AJ, Chaves I. Chronic granulomatous disease. Pediatr Radiol. 2010 May;40(5):657-68.

Thursday, May 5, 2011

Eponyms in Tuberculosis

  • Ghon focus: Initial site of parenchymal involvement at the time of first infection.
  • Ranke complex: Combination of a Ghon focus and enlarged or calcified lymph nodes.
  • Simon foci: Apical nodules (often calcified) that result from hematogenous seeding at the time of initial infection.
  • Rasmussen aneurysm: Pseudoaneurysm of a pulmonary artery caused by erosion from an adjacent tuberculous cavity. Can form months to years after cavity formation.
  • Pott disease: Tuberculosis of the spine.

References

  • Leung AN. Pulmonary tuberculosis: the essentials. Radiology. 1999 Feb;210(2):307-22.

Wednesday, May 4, 2011

Neonatal Abdominal Cysts

Differential considerations for a pelvic mass in a child:
  • Duplication cyst: Look for bowel wall signature on ultrasound.
  • Ovarian cyst (shown above): Can be seen during the second trimester and persist into infancy. Due to maternal and/or placental hormones or adrenogenital syndrome. Can get large and lead to torsion. A specific finding is the "daughter cyst" sign, representing a follicle in the ovarian cyst. The images above demonstrate a cystic pelvic mass superior to the urinary bladder (B) on prenatal MRI. Neonatal ultrasound shows a complex mass with an internal daughter cyst
  • Mesenteric cyst:
  • Cystic meconium peritonitis:
  • Choledocal cyst:
  • Urachal remnant: Urachal cyst or diverticulum
  • Renal cyst:
  • Mimics: Hydronephrosis, hydroureter, hydrometrocolpos, bowel atresia/obstruction, anterior meningocele.

References

  • Lee HJ, Woo SK, Kim JS, Suh SJ. "Daughter cyst" sign: a sonographic finding of ovarian cyst in neonates, infants, and young children. AJR Am J Roentgenol. 2000 Apr;174(4):1013-5.
  • Schmahmann S, Haller JO. Neonatal ovarian cysts: pathogenesis, diagnosis and management. Pediatr Radiol. 1997 Feb;27(2):101-5.

Tuesday, May 3, 2011

Beaded Pulmonary Arteries

Intravascular pulmonary tumor emboli can result in a dilated and beaded appearance of medium to small pulmonary arteries distended by tumor.

Lymphangitic spread of tumor through pulmonary capillaries, lymphatic vessels, and the septal interstitium, on the other hand, results in nodular thickening of the interlobular septa (the so-called beaded septum sign).

Plugged dilated bronchi and pulmonary anteriovenous malformations may have a similar appearance at first glance. The former is diagnosed by noting communication with the bronchial tree, while the latter can be diagnosed by noting connection to a draining vein.

References

  • Ren H, Hruban RH, Kuhlman JE, Fishman EK, Wheeler PS, Zerhouni EA, Hutchins GM. Computed tomography of inflation-fixed lungs: the beaded septum sign of pulmonary metastases. J Comput Assist Tomogr. 1989 May-Jun;13(3):411-6.
  • Shepard JA, Moore EH, Templeton PA, McLoud TC. Pulmonary intravascular tumor emboli: dilated and beaded peripheral pulmonary arteries at CT. Radiology. 1993 Jun;187(3):797-801.

Monday, May 2, 2011

Perilymphatic Distribution

The perilymphatic pattern of pulmonary nodules refers to distribution along lymphatics of the interlobular septa and surrounding the bronchovascular bundle. Nodules are seen at pleural surfaces, interlobular septa and the peribronchovascular interstitium. They can be seen in:
  • Sarcoidosis: Look for hilar and mediastinal adenopathy.
  • Inhalational: Silicosis, coal-worker's pneumoconiosis.
  • Lymphangitic spread of carcinoma:
  • Kaposi sarcoma (shown above): In an immunocompromised patient, peribronchovascular distribution favors a diagnosis of Kaposi sarcoma over lymphoma and infection.
  • Lymphoma:

References

Edinburgh KJ, Jasmer RM, Huang L, Reddy GP, Chung MH, Thompson A, Halvorsen RA Jr, Webb RA. Multiple pulmonary nodules in AIDS: usefulness of CT in distinguishing among potential causes. Radiology. 2000 Feb;214(2):427-32.

Sunday, May 1, 2011

Neuroblastoma Staging

Based on The International Neuroblastoma Staging System (INSS, 1993):

Stage Description
Stage 1
(surgicopathological)
Localized tumor with complete gross excision, with or without microscopic residual disease; representative ipsilateral lymph nodes are negative microscopically.
Stage 2
(surgicopathological)
Localized tumor with incomplete gross excision and representative ipsilateral non-adherent lymph nodes negative microscopically (2a). OR Localized tumor with or without complete gross excision, with ipsilateral non-adherent lymph nodes positive for tumor. Enlarged contralateral lymph nodes must be negative microscopically.
Stage 3
(role for radiology)
Unresectable unilateral tumor infiltrating across the midline, without regional lymph node involvement. OR Localized unilateral tumor with contralateral regional lymph node involvement. OR midline tumor with bilateral extension by infiltration or by lymph node involvement
Stage 4
(role for radiology)
Any primary tumor with dissemination to distant lymph nodes, bone, bone marrow, liver, skin and/or other organs (except as defined for stage 4S)
Stage 4S Localized primary tumor (as defined for stages 1 or 2), with dissemination limited to the skin, liver and/or bone marrow (but no cortical disease). Limited to infants < 1 year of age.
Stage 4N
(not part of INSS)
Extensive lymph node metastases (cervical, axillary, thoracic, abdominal, pelvic), but no extranodal metastases.


Midline extension is defined as tumor that reaches the contralateral pedicle.

References

  • Hiorns MP, Owens CM. Radiology of neuroblastoma in children. Eur Radiol. 2001;11(10):2071-81.
  • Rosen EM, Cassady JR, Frantz CN, Kretschmar CS, Levey R, Sallen SE. Stage IV-N: a favorable subset of children with metastatic neuroblastoma. Med Pediatr Oncol. 1985;13(4):194-8.